Ostrogi - bolesny problem

 O problemie ostrogi piętowej i sposobach jej leczenia opowiada dr n. med. Cezary Michalak, specjalista ortopeda ze Szpitala Centrum ENEL-MED.

27 lipiec 2016
Artykuł na: 6-9 minut
Zdrowe zakupy

OCL: Czy to prawda, że ostroga może zdarzyć się każdemu?

Cezary Michalak: Tak. Schorzenie to nie jest związane z wiekiem. Cierpią na nie zarówno młodzi, jak i starsi, i to niezależnie od prowadzonego trybu życia. Dolegliwość objawia się bólem w okolicach pięty i ogranicza sprawność chodu czy biegu.

OCL: Skąd wzięła się nazwa ostroga?

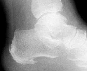
Cezary Michalak: Nazwa jest nieco myląca. Dolegliwości określane jako tzw. ostroga piętowa to tak naprawdę zapalenie przyczepu powięzi podeszwowej do kości piętowej. Nieleczony stan zapalny prowadzi do powstania złogów wapiennych, a w konsekwencji wyrośli na kości piętowej, którą nazywa się ostrogą piętową i stwierdza się w badaniu RTG. Paradoksalnie, spotyka się liczne wypadki, gdy na wykonywanych z innych przyczyn zdjęciach rentgenowskich stwierdza się obecność masywnej ostrogi piętowej - a jednocześnie pacjent nie ma żadnych dolegliwości w tej okolicy.

OCL: Co może doprowadzić do rozwoju choroby?

Cezary Michalak: Schorzenie powstaje na skutek nadmiernego rozciągania więzadła stopy (powięzi podeszwowej), czemu sprzyja koślawienie pięty, na przykład w wyniku noszenia zbyt luźnego, niestabilnego obuwia. Może do niego prowadzić również zbyt duże obciążanie przedniej części stopy, do którego dochodzi w takich sportach jak tenis, badminton czy siatkówka. Do głównych przyczyn ostrogi piętowej należą także otyłość i związane z nią przeciążenia stóp. Wszystkie te czynniki są niezwykle istotne i warto o nich pamiętać, by nie mieć problemów z ostrogą piętową.

Dr. n. med. Cezary Michalak - specjalista ortopeda i traumatolog ze Szpitala Centrum ENEL-MED. Ukończył m.in. kurs chirurgii stopy w Hospital Bellvitge w Barcelonie; kurs chirurgii stopy na Universidad Complutense de Madrid; kursy endoprotezoplastyki stawu kolanowego - Stolzalpe Hospital w Austrii, Leuven w Belgii i Nijmegen w Holandii. W latach 2008-2013 pracował w szpitalu prywatnym Hospiten Lanzarote (Wyspy Kanaryjskie) na stanowisku adiunkta - jako lekarz specjalista ortopedii i traumatologii.

OCL: Jakie są objawy ostrogi piętowej?

Cezary Michalak: Ból, przede wszystkim podczas chodzenia. Jednak dyskomfort, który odczuwa chory, jest spowodowany nie przez wyrostek kostny, widoczny na zdjęciu RTG tylko u 50% pacjentów, ale przez stan zapalny rozcięgna podeszwowego. I to właśnie on wymaga leczenia.

OCL: Czy to prawda, że pod objawami typowymi dla ostrogi może ukrywać się inna choroba?

Cezary Michalak: Tak. Zbliżone objawy do ostrogi piętowej daje tzw. choroba Haglunda. Schorzenie to polega na deformacji pięty, m.in. w miejscu styku ze ścięgnem Achillesa, a rozwija się najczęściej w okresie dorastania. Podobne symptomy może również dawać zapalenie ścięgna Achillesa, jego przyczepu czy zlokalizowanej tam kaletki. Jednak w tym przypadku dolegliwości są zlokalizowane wyżej niż ostroga piętowa. Ból pięty może wystąpić również w przebiegu różnorakich chorób ogólnoustrojowych, jak na przykład łuszczyca czy zespół Reitera, albo być efektem urazu, np. stłuczenia lub złamania.

OCL: Jak poznać, że to ostroga?

Cezary Michalak: Jeżeli pacjent podejrzewa, że cierpi z powodu ostrogi, powinien wybrać się do ortopedy. Na podstawie wywiadu i badania palpacyjnego stopy, czyli badania dotykiem, można zlokalizować faktyczne źródło bólu. W przypadku ostrogi piętowej będzie się ono znajdowało w okolicy środka pięty. W chorobie Haglunda, czasem mylonej z ostrogą piętową, bolesność odczuwana jest ponad piętą, w miejscu przyczepu ścięgna Achillesa. Diagnozę potwierdza zdjęcie RTG lub badanie ultrasonograficzne.

OCL: Na czym polega leczenie?

Cezary Michalak: Terapia przy ostrodze piętowej w pierwszej kolejności polega na noszeniu specjalistycznych wkładek amortyzujących piętę - najlepiej żelowych. Jeżeli stopa chorego jest zdeformowana, konieczne są wkładki korekcyjne. Panie muszą pożegnać się z wysokimi obcasami. Najlepiej zamienić je na buty na niskim obcasie i z elastyczną, amortyzującą podeszwą.

Ponadto wskazane jest przyjmowanie doraźnie doustnych niesteroidowych leków przeciwzapalnych wskazanych przez lekarza prowadzącego (niestety, skuteczność farmakoterapii doustnej jest ograniczona). W razie braku poprawy pacjenci cierpiący z powodu ostrogi kierowani są na fizykoterapię, np. laseroterapię, ultradźwięki - w tym tzw. falę uderzeniową (ESWT) - pole magnetyczne oraz kinezyterapię (ćwiczenia). W niektórych wypadkach ulgę przynosi terapia manualna, czyli coś w rodzaju specjalistycznego masażu stóp. Innym rozwiązaniem jest stosowanie na noc szyny (ortezy) albo tzw. taping, czyli opatrunek z plastrów.

OCL: Czy te metody są skuteczne? Jak długo trwa leczenie?

Cezary Michalak: Leczenie zapalenia przyczepu powięzi podeszwowej do kości piętowej trwa nawet do roku. Jak pokazują statystyki, jest ono skuteczne w około 90%.

By Glitzy queen00 at English Wikipedia - Transferred from en.wikipedia to Commons., Public Domain, https://commons.wikimedia.org/w/index.php?curid=2976038

OCL: A co w przypadku 10% pechowców, którym terapia nie pomogła?

Cezary Michalak: W przypadku, gdy powyższe działania nie przynoszą zamierzonego skutku, wskazane są dodatkowe formy leczenia. Doraźnie stosuje się zastrzyki z leku miejscowo znieczulającego oraz ze sterydu, które przyniosą ulgę, chociaż nie w każdym przypadku. W ostatnich latach popularność zdobyła terapia osoczem bogatopłytkowym (PRP), zabieg stymulujący gojenie, polegający na wstrzyknięciu w przyczep rozcięgna zagęszczonego czynnika wzrostu uzyskanego z krwi chorego.

W przypadku pacjentów, u których leczenie zachowawcze nie przyniosło oczekiwanych rezultatów, zaleca się operację. Jednak zabieg chirurgiczny konieczny jest jedynie w bardzo nielicznych sytuacjach. Spośród kilku metod operacyjnych najczęściej wykonuje się wycięcie bolesnej zmiany; jest to zabieg bezpieczny i zwykle przynoszący trwałą poprawę.

OCL: Podobno ostroga lubi nawracać. Czy to prawda?

Cezary Michalak: Niestety tak. Ostroga piętowa jest schorzeniem uporczywym, dlatego tak istotne jest zastosowanie się do rad specjalisty, w tym między innymi: noszenie prawidłowego obuwia, tj. na podeszwie elastycznej, wykonywanie ćwiczeń stóp czy zachowanie prawidłowej wagi ciała.

Wczytaj więcej
Nasze magazyny