BAZA POLSKICH I ŚWIATOWYCH ŹRÓDEŁ O CZYM LEKARZE CI NIE POWIEDZĄ MEDYCYNA · ZDROWIE Agent AI Kliknij i pytaj

Złocień maruna – skuteczna broń w walce z białaczką

Złocień maruna jest sprzedawany w sklepach ze zdrową żywnością jako preparat na obniżenie gorączki i zmniejszenie stanów zapalnych. Naukowcy twierdzą, że właściwości tej rośliny są niedoceniane, a jej wyjątkowe działanie lecznicze nie jest w pełni wykorzystywane.

Artykuł na: 2-3 minuty
Zdrowe zakupy

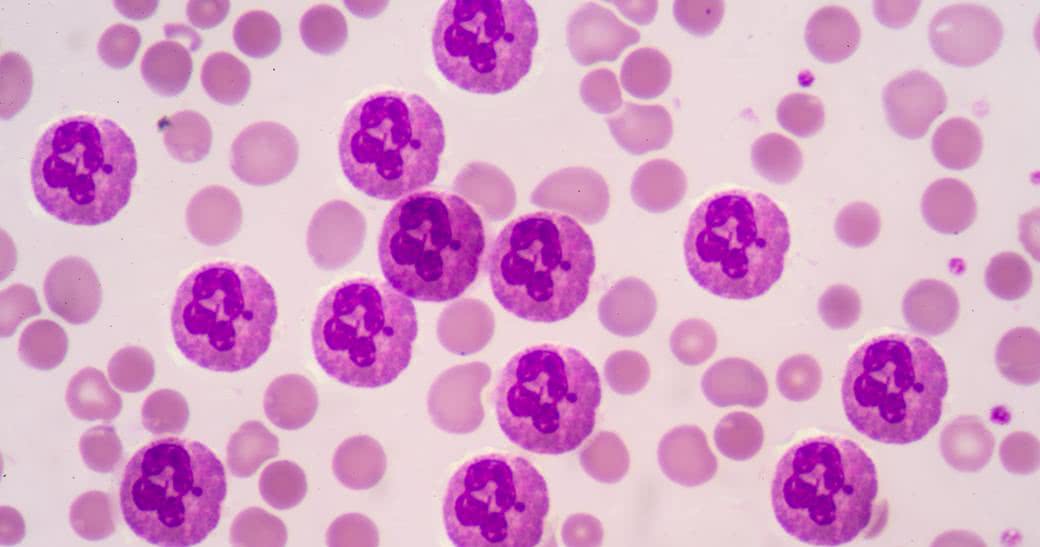
Złocień maruna - pospolita roślina ogrodowa, która zwalcza migrenę i ból stawów, a także pomaga w leczeniu białaczki, powszechnie uważanej za przewlekłą i wręcz nieuleczalną chorobę. Naukowcy wyizolowali ze złocienia maruna związek o nazwie partenolid, który ma zadanie zabijać komórki przewlekłej białaczki limfocytowej (CLL).

Naukowcy z University of Birmingham w Wielkiej Brytanii odkryli metodę izolowania i modyfikacji tego związku w celu zwiększenia jego właściwości przeciwnowotworowych. Partenolid zwiększa liczbę niestabilnych cząsteczek w komórkach rakowych, dopóki nie osiągną punktu, w którym ulegną samozniszczeniu.

Badania pokazują, że niewiele jest związków, które w taki sposób, jak pertenolid atakują komórki CLL. Podobne wnioski zgłaszali już w 2005 r. naukowcy z University of Rochester Medical School, którzy odkryli, że 18 godzinna ekspozycja na partenolid może zabić komórki białaczkowe, pozostawiając wokół nich same zdrowe komórki.

Naukowcy z Rochester odkryli również, że partenolid jest skuteczniejszy niż cytarabina - standardowy lek przeciw białaczce, ponieważ jest ona "umiarkowanie toksyczna" dla komórek rakowych, ale "wysoce toksyczna" dla zdrowych komórek, a więc może wyrządzić więcej szkody niż pożytku.

Źródło: MedChemComm, 2019; 10: 1379-90

Autor publikacji:
Wczytaj więcej
BAZA POLSKICH I ŚWIATOWYCH ŹRÓDEŁ O CZYM LEKARZE CI NIE POWIEDZĄ MEDYCYNA · ZDROWIE Agent AI Kliknij i pytaj Agent AI Kliknij i pytaj
Agent AI
Nasze magazyny